Génioplastie ou chirurgie du menton à Paris
Qu’est-ce que la chirurgie du menton : génioplastie ?
Les 3 étapes de la génioplastie
Avant l'intervention
Il est important de consulter le Dr LEVY pour poser l’indication de génioplastie.
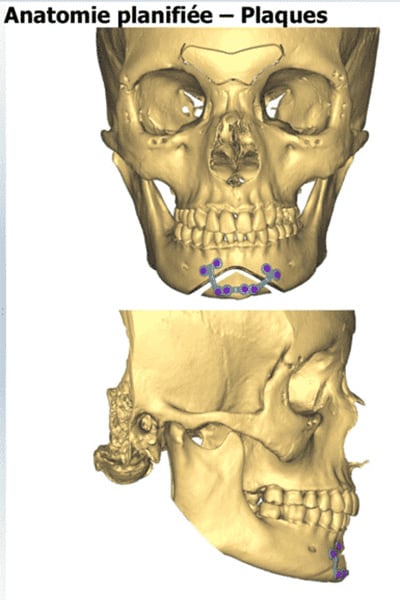
Un scanner de la face sera prescrit pour réaliser l’étude 3D de votre visage.
Un press-lift de compression pour le visage sera prescrit.
Il est conseillé d'arrêter le tabac avant cette chirurgie.
Durant l’intervention
La génioplastie est réalisée sous anesthésie générale.
La durée de cette chirurgie du menton varie entre 1h et 1h30.
Le Docteur LEVY utilise la 3D pour la génioplastie.
Après la bichectomie
La sortie de la clinique se fait le jour même où le lendemain, en fonction de l’importance des gestes réalisés.
Les douleurs au menton sont faibles.
Le patient peut présenter une sensation de gonflement et de tension au niveau du menton.
Aucun fil à retirer ni aucun pansement, des bains de bouche antiseptiques sont à effectuer pendant 10 jours.
Une alimentation tiède et molle est conseillée pendant 7 jours.
Les avantages et risques de la génioplastie
Les avantages
- Modifier la position du menton
- Affiner le menton
- Guidage 3D : guides de coupe chirurgicaux
Les risques de la génioplastie
- Hématome de paroi
- Paresthésie menton
- désunion de cicatrice
- Asymétrie osseuse
Tarifs de l'intervention
Consultez l'ensemble des tarifs du Docteur Jerry Levy en cliquant sur le bouton suivant.
La génioplastie est une chirurgie esthétique du visage.
Aucune prise en charge sécurité sociale n’est possible dans la plupart des cas.
Le tarif pour une génioplastie est variable, à partir de 3 500 euros.
Retrouvez ici tous les tarifs du Dr LEVY.
Questions fréquentes sur l'opération
Le Docteur Jerry Levy est à votre disposition pour toutes questions au sujet de cette intervention esthétique.
Quel est l’âge idéal pour faire une génioplastie ?
Habituellement, il n’y a pas d’âge pour une génioplastie.
Une génioplastie ou ostéotomie du menton peut être proposée dès que la croissance des os du visage est terminée, c’est-à-dire à partir de 16 ans.
Le résultat est-il durable et définitif dans le temps ?
Oui, la génioplastie par guidage 3D donne des résultats définitifs dans le temps contrairement à la pose de prothèse du menton ou aux injections d’acide hyaluronique qui doivent être répétées chaque année.
Existe-il une autre alternative à la génioplastie ?
Comme nous venons de le voir, les techniques d’injections avec l’acide hyaluronique peuvent être une alternative à la génioplastie chirurgicale mais les injections doivent être répétées tous les ans avec un résultat moins précis que la génioplastie avec guidage 3D.
Un examen clinique avec le Docteur Jerry LEVY au cabinet vous permettra de choisir la technique adaptée à votre visage.
En savoir plus
Les autres interventions du visage
Retrouvez l'ensemble des interventions du Dr Levy en cliquant sur le bouton suivant.







Nice post merciiiii
https://www.capchirurgie.com